1.ヘリコバクター・ピロリ菌は胃がんの最大のリスクです
ピロリ菌は口から感染し、ヒトの胃に数十年にわたり持続感染し、胃炎や潰瘍、胃がんを起こす細菌です。
他に胃マルトリンパ腫、血小板減少性紫斑病などの原因になることがあります。
胃がんの99%はピロリ菌感染に由来すると考えられ、ピロリ菌は胃がんの最大のリスクです
胃カメラで慢性胃炎などピロリ菌感染が疑われる場合、この後に説明する血液検査や尿素呼気テストでピロリ菌の有無を調べます。
感染している場合、2種類の抗生剤と胃薬を1週間内服し除菌します。
2.ピロリ菌と慢性胃炎(萎縮性胃炎)
ピロリ菌は大きさ5μm、肉眼では見えず電子顕微鏡で見えるサイズです。
1980年代にヒトの胃の粘膜から発見されましたが、ヒトの胃以外に土壌や河川にも生息するといわれます。
ピロリ菌は免疫機能が不完全な5歳以下の乳幼児期に感染します。上下水道が整備されていない環境の生水や、両親からの口移しの食事などを介し感染すると考えられています。
胃の中は胃酸で強酸性のため、生物の生息には厳しい環境ですが、口から胃に入ったピロリ菌はウレアーゼという酵素を出してアンモニアを産生し、周りの胃酸を中和して胃の粘膜に到達します。そして胃粘膜の細胞に針を刺して接着し、炎症を起こす物質や発がん物質を注入し続けるので、胃粘膜は赤くただれ、やがて萎縮し薄くなります。
正常胃粘膜と、ピロリ菌感染で胃炎を起こした写真を比べてみましょう。
正常の胃
正常の胃粘膜は光沢がありすべすべです。
鳥肌胃炎
ピロリ菌に感染すると、まず胃の出口付近から炎症が始まり、胃全体に広がっていきます。これは胃の出口付近(前庭部)にピロリ菌に対する免疫反応によってリンパ球がたくさん集まり、このようにブツブツした粘膜になります。これを「鳥肌胃炎」とよび、スキルス胃がん発生のリスクが高いといわれます。
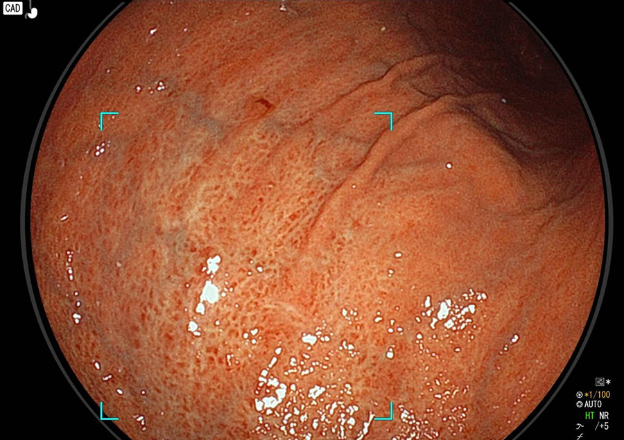
点状発赤
ピロリ菌が胃粘膜に炎症を起こし戦争状態となるため、胃粘膜が点状に赤くなります。
白色粘液付着
炎症によって白い粘液が付着し、胃のひだがむくんで腫れています。
萎縮性胃炎
炎症が何年も持続すると、やがて胃粘膜が萎縮し、ひだまで消失します。胃粘膜の下の血管まで透けて見えてきます。
3.慢性胃炎(萎縮性胃炎)は胃がんの発生母地。早期の除菌
治療の重要性。
一度萎縮してしまった粘膜は、ピロリ菌がいなくなっても元には戻りません。この萎縮性胃炎は胃がんの発生母地です。
ピロリ菌のアジア株は欧米株に比べて病原性が高く、アジアに胃がんが多い一因です。
除菌治療する年齢が上がるほど、胃がんを抑制する割合が下がります。
50歳代までに除菌治療すると、胃がんの発生が特に下がるといわれます。
健康診断の胃バリウム検査で萎縮性胃炎を指摘された場合は、必ずピロリ菌感染について調べましょう。
萎縮が進んでしまう前に一日でも早い除菌治療が必要です。
4.日本のピロリ菌の感染率と胃がんの状況
日本のピロリ菌感染者数は少なくとも3,000万人と予測され、感染率は50歳以上で高く、60歳代では約6割の方が感染しているといわれます。 戦後、衛生環境の改善によってピロリ菌の感染率は年々低下し、30歳代で20%以下、10歳未満では10%以下、2011年生まれでは2.7%と激減しました。
ピロリ菌感染率の低下に伴い、2024年の解析では75歳未満の胃がんは減少しており、将来胃がんは稀な病気となるでしょう。
ただし、75歳以上の方では、残念ながら胃がんは横ばい~増加傾向なので、定期的な胃カメラ検査が大切です。
5.ピロリ菌の診断
保険診療でピロリ菌を調べたり、除菌治療を行うには、まず胃カメラで胃炎の状況を把握し、胃がんの発生がないか調べる必要があります。
当院では以下の方法でピロリ菌の診断を行います。
①尿素呼気テスト
現在のピロリ菌感染の判定ができる検査です。精度が高く、除菌効果の判定にも適します。院内検査で1時間ほどで結果が出ます。
PPI製剤やタケキャブなどの胃薬は検査結果に影響するため、検査前2週間の休薬が必要です。
②血液検査:抗ヘリコバクターピロリ抗体
この抗体価は、ピロリ菌に感染したことがあると陽性になります。
除菌後など、菌がいなくなってからも陽性の反応がずっと出続けることがあり(偽陽性)、除菌の効果判定にはあまり適しません。
③胃カメラで胃の組織を採取し、顕微鏡で菌体を見つける
生検で採取した部分に菌がいないと、偽陰性になることがあります。
萎縮性胃炎があるのにこれらの検査が陰性のことがあります。
これは風邪などの他の感染症の治療で使用した抗生剤の影響などで、除菌治療をしていなくても偶然に菌がいなくなったためと考えられます。
また萎縮性胃炎が高度になると、ピロリ菌が住めなくなって、いなくなることもあります。(自然除菌)
除菌後と同じように胃カメラによる定期検査が必要です。
6.除菌治療
2種類の抗生剤と胃酸を抑える薬の3種類を、朝夕1回ずつ、1週間内服します。
除菌中は禁酒してください。また飲み忘れると除菌失敗する原因になります。
当院では1回目の除菌治療(1次除菌)では「ボノサップパック(クラリスロマイシン、アモキシシリン、タケキャブ)」を使用します。
内服終了約2ヶ月後に、尿素呼気テストで除菌が成功したかどうか確認します。
抗生剤への耐性を持つピロリ菌がおり、約2割の方で除菌失敗することがあるので、必ず除菌が成功したか、調べて下さい。
1次除菌が失敗した場合、抗生剤を変更して2次除菌を行います。
当院では「ボノピオンパック(メトロニダゾール、アモキシシリン、タケキャブ)」を使用します。
2次除菌も失敗した場合は、当院では自費治療で3次・4次除菌を行うことが可能です。
ペニシリンアレルギーでアモキシシリンが使用できない方も、自費で3次除菌に使用する薬で治療します。(下記『自由診療によるピロリ菌検査・除菌治療のご案内』をご参照ください。)


7.副作用
抗生剤で腸内細菌叢が乱れ、一時的に味覚障害や軟便、下痢することがあります。
当院では下痢予防のため、整腸剤も処方します。
軽い症状の場合は、1週間で治療が終わるので内服を継続して下さい。ひどい下痢、血便が出た場合はすぐ受診して下さい。
また、じんましん(治療中~終了後)、肝機能異常が起こることがあります。
8.除菌後も年1回の胃カメラ検査は必要
除菌治療後、胃粘膜の炎症はゆっくりと鎮静化し、ただれや赤みは何年もかけて軽減します。一旦萎縮した粘膜は完全に元には戻らないため、除菌後も胃の検査を受けると萎縮性胃炎は指摘されます。
除菌すれば、胃がんが出るリスクは3分の1程度に減りますがゼロにはならないため、1年に1回の定期的な胃カメラが必要です。除菌後10年以上経過して早期胃がんが発見されることが度々あります。
また、胃がんはバリウム検査では早期発見できないことが多いため、萎縮性胃炎と診断された方は、必ず年1回、胃カメラでの定期検査を受けてください。そうすれば数㎜以下で粘膜内にとどまる早期胃がんの段階で発見できることが多く、内視鏡治療で完治できます。

お問い合わせ
アクセス