胃カメラ検査
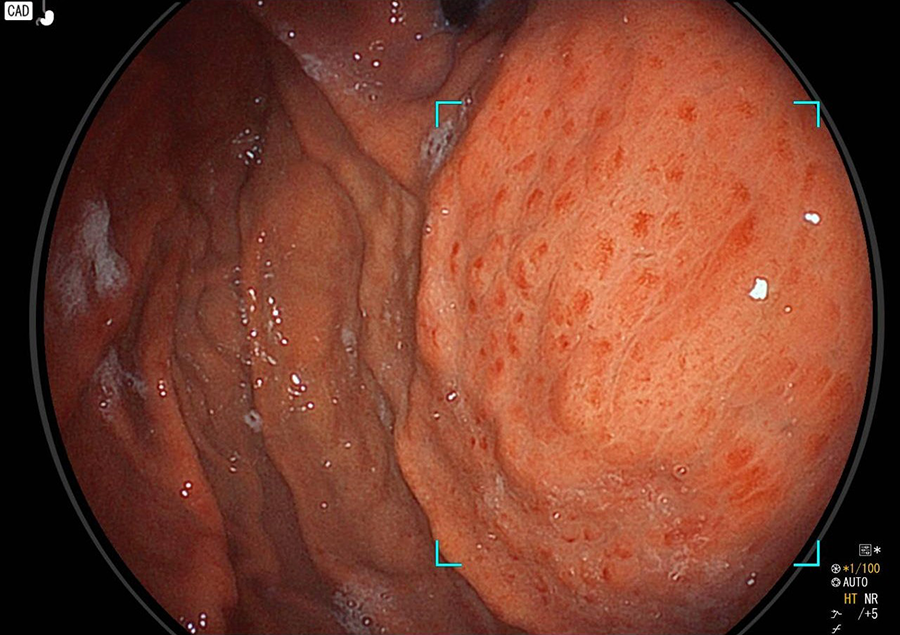
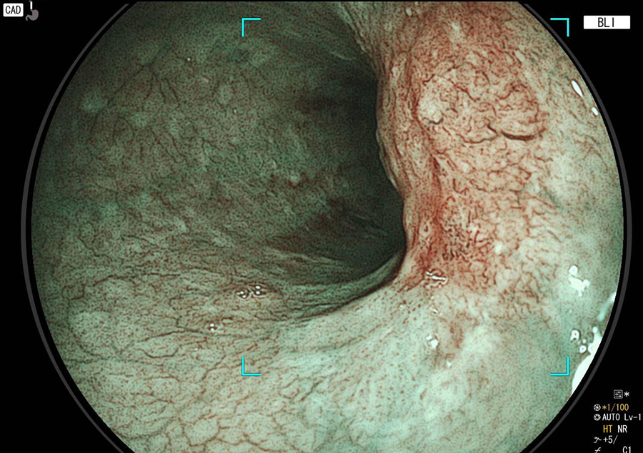
胃カメラ検査では、口又は鼻から内視鏡を挿入し、食道・胃・十二指腸の一部を観察します。直接胃や食道の粘膜を観察することができるので、色調や微妙な凹凸の変化が分かり、潰瘍・炎症・ポリープ・腫瘍などの診断が可能です。
当院の内視鏡検査(胃カメラ・大腸カメラ)の特徴胃カメラを受けるべきタイミング
- みぞおち周辺に痛みや不快感がある
- 吐き気や食欲不振に悩んでいる
- 喉に違和感がある
- 黒い便が出た
- 吐血した
- お腹が張る、げっぷがよく出る
- 健康診断で指摘された
胃カメラでわかる病気/病変
- 胃粘膜下腫瘍
- 胃カルチノイド腫瘍
- 胃アニサキス症
- 胃炎、ピロリ感染胃炎
- 胃潰瘍/十二指腸潰瘍
- 十二指腸がん
検査方法
①経鼻内視鏡
両方の鼻に血管収縮剤を噴霧してから、麻酔のゼリーを流し、鼻からのどにかけて麻酔をします。極細経スコープ(5.9㎜)は吐き気の原因ともなる舌根部を圧迫しないので「ゲェッ」とならずに検査をすることができます。
口元は解放されているので、会話をすることも可能です。
②経口内視鏡
うがいをするような要領でのどに麻酔のゼリーを3分間ためていただきます。
上記の麻酔によって、嘔吐反射(オエッとなる)を最小限にします。
マウスピース「エンドリーダー」の使用により、胃カメラの先端が舌根部を刺激するのを防ぎます。
極細経スコープ(5.9㎜)なので、咽頭部にかかる負担を軽減できます。
③鎮静下内視鏡
のど麻酔をした後、検査室にて鎮静剤を静脈注射し、ウトウトした状態で検査をします。
鎮静剤を使用した場合は、下記についてご了解ください
- 一過性に呼吸抑制や血圧低下を起こすことがあります。
- 薬によって眠ってしまい、検査したことを覚えていないことがあります。
- 検査後に回復室で休んでいただきますが、帰宅途中に再度眠気が出てきてしまうことがあります。
- 持ち物を忘れる、転倒する等の事故にご注意ください。
- 車、バイク、自転車の運転はしないでください。
- 検査後、仕事に戻って機械の操作や、重要な決定はしないでください。
- 75歳以上の方は、できれば帰りのお迎えをお願いします。
- 杖歩行、車いす使用の方は、付き添いの方をお願いします。
- 呼吸器の病気や薬のアレルギーのある方、医師の判断で鎮静剤を使用できない方もいらっしゃいますので、ご了承ください。
検査の様子
検査の流れ
検査前日
検査前日の21時までに夕食を済ませてください。
※水・白湯は飲んでいただいてかまいません。
検査当日(朝)
朝食をとらずにご来院ください。
水分を摂取した方が、喉が潤って検査が楽にできます。
※水・白湯は飲んでいただいてかまいません。
※お茶・牛乳・果汁ジュース・コーヒーは禁止です。
来院
検査を安全に実施するため、検査前に問診を行います。
内服薬の確認のため、お薬手帳をお持ちください。
検査
準備が整いましたら、ご希望の方法で胃カメラ検査を実施していきます。
検査にかかる時間:5分~7分
※場合によっては観察に時間がかかる場合があります。組織を採取すると少し時間が延長します。
検査後
診察室にて画像を見ながら検査結果の説明を行います。
※鎮静剤を併用した方は、回復室にてお休みいただいてからの診察になります。
検査の費用
<3割負担の場合>
| 胃カメラ検査のみ | 5,000円前後 |
|---|---|
| 組織検査あり | 10,000円前後 |
※上記の金額はあくまでも目安となるものです。処置内容により金額は異なります。
よくある質問
お問い合わせ
アクセス